Una escalofriante fotografía se conoció en las últimas horas de la lesión que sufrió Luciano Sánchez, jugador de Argentinos Juniors.
El lateral del club argentino salió lesionado en medio del partido que jugaba su club ante el Fluminense por la Copa Libertadores de América.
Y la aterradora lesión tuvo su génesis en una entrada de Marcelo, la otrora estrella del Real Madrid que volvió de Europa para cerrar su carrera en ese equipo de su país.
Vea también: [Video] Primeras imágenes de Luciano Sánchez tras chocar con Marcelo: detalles de su lesión

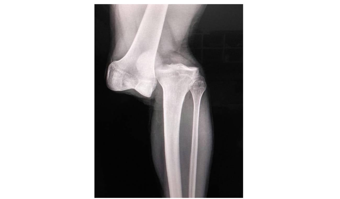
La imagen que se conoce de la radiografía resultó ser aterradora para los amantes del fútbol que han lamentado la mala suerte de Luciano Sánchez.
Luego de haber salido con la impactante lesión, se conoció esa imagen que puso a sudar frío a más de uno.
El propio médico de Argentinos Juniors dijo que en más de dos décadas de carrera jamás había visto una lesión semejante.
Le puede interesar: Marcelo y las lesiones más escalofriantes de los últimos años en Libertadores
Es casi que completa la separación del fémur y el peroné, una lesión que dejará fuera de las canchas por al menos seis meses a Luciano Sánchez.
“En 23 años como médico nunca vi una lesión así. Es casi una separación del fémur y el peroné. Hay rotura de cruzado, anterior, posterior... Hay que hacer una reconstrucción. La recuperación es de entre 10 y 12 meses”, señaló Alejandro Ronconi, médico de Argentinos Juniors.

Hoy sigue siendo motivo de polémica si hubo o no falta involuntaria de Marcelo. Ahora bien, Luciano será operado y pasará varios meses fuera de las competencias.
